APARATY STAŁE
Postaw na skuteczne leczenie wad zgryzu aparatem stałym – pod okiem profesjonalistów. Zyskaj piękny, zdrowy uśmiech i większą pewność siebie!
Aparaty stałe to takie, które umocowane są na zębach przez cały okres leczenia. W naszym gabinecie będziesz mógł skorzystać z leczenia z wykorzystaniem tradycyjnych aparatów stałych, jak i bardzo estetycznych aparatów wykonanych z porcelany albo też z kryształu.


Zamki aparatu stałego są przyklejane na powierzchniach wargowych i policzkowych zębów specjalnym klejem. W technice językowej klei się je na powierzchniach językowych zębów. Są więc wówczas zupełnie niewidoczne ale za to trochę bardziej dokuczliwe dla Pacjenta. Utrudniają też wymowę. Technika ta jest rzadko stosowana i droga.
Podstawowe elementy aparatu stałego to:
Mogą być też stosowane elementy dodatkowe, takie jak: metalowy łuk przebiegający przez podniebienie, łączący zęby trzonowe szczęki, taki sam łuk w żuchwie przebiegający wzdłuż powierzchni językowych zębów, sprężynki, wyciągi elastyczne międzyszczękowe oraz inne.

Najczęściej zamki wykonane są z metalu. Pacjenci, dla których sprawa estetyki jest bardzo ważna, decydują się na założenie droższych zamków, kosmetycznych. Wykonane są one z porcelany albo też z kryształu. Są mniej widoczne, bardzo zbliżone do koloru zębów.
Są też zamki złote – dla chętnych. Zasady działania zamków aparatu stałego nie zależą od materiału, z którego są wykonane, ale od szczegółów ich budowy.
CHCESZ ZACHWYCAĆ PIĘKNYM I ZDROWYM UŚMIECHEM?
Podejmij leczenie już dziś! Umów się na wizytę

Nakładaną ligaturą elastyczną lub skręcaną ligaturą metalową, są dla pacjenta nieco mniej komfortowe od tych z klapką w zamkach samoligaturujących. Klapka działa jak element aktywny w razie potrzeby przyciągając łuk do zamka lub pozwalając mu na pewną swobodę. Zmniejsza się w ten sposób tarcie pomiędzy szczeliną zamka a łukiem pracującym co pozwala na szybszy ruch zębów jednocześnie zmniejszając napięcie całego systemu.
W porównaniu z zamkami tradycyjnymi zamki samoligaturujące posiadają klapkę, Ta klapka działa jak ligatura gumowa bądź metalowa, przytrzymuje drut główny do zamka. Działa również ona jak element aktywny w razie potrzeby przyciągając zamek do łuku główne lub luzując kiedy siła jest za duża.
Czy tylko dzieci i młodzież mogą się leczyć ortodontycznie? Leczyć się można w każdym wieku i praktycznie tylko wydolność przyzębia ogranicza te możliwości, o ile nie ma innych przeciwwskazań. Sama choroba przyzębia również nie wyklucza leczenia ortodontycznego. Musi być ono tylko prowadzone w ścisłej współpracy z lekarzem specjalistą chorób przyzębia. A zakres, rodzaj i stosowane metody leczenia dopasowane są indywidualnie do pacjenta.
Czy podczas zdejmowania aparatów stałych uszkodzone zostaje szkliwo zębów? Nie, szkliwo jest najtwardszą tkanką w ludzkim organizmie. Podczas usuwania aparatu kruszy się łączący go z zębem klej.
Czy aparat stały niszczy zęby? Nie, ubytki mogą powstać na zębach wtedy, gdy pacjent nie dba w wystarczającym stopniu o higienę jamy ustnej i nie doczyszcza zębów. Higienistki podczas wizyt kontrolnych zwracają uwagę na stan higieny i w razie potrzeby przypomną, jak dbać o zęby.
Czy leczenie stałym aparatem pozwoli uniknąć usuwania zębów? Nie w każdym przypadku. Gdy istnieje duża dysproporcja pomiędzy wielkością zębów a szerokością wyrostka zębowego, trzeba zmniejszyć ilość zębów, niezależnie od tego czy leczenie będzie prowadzone przy pomocy aparatów stałych czy też ruchomych.
Czy aparaty stałe działają „same” i nie wymagają współpracy ze strony pacjenta? Nie zawsze tak może być. Pomijając dużą dbałość o higienę jamy ustnej oraz systematyczne uczęszczanie na wizyty kontrolne, do leczenia często włączane są dodatkowe akcesoria, jak np. wyciągi międzyszczękowe lub wyciąg karkowy, które pacjent sam zakłada.
Jest wiele rodzajów aparatów retencyjnych. Mogą nimi być aparaty ruchome, którymi pacjent się leczył, ale już bez rozkręcania śruby i bez aktywacji – noszone tylko w nocy.
Po zdjęciu aparatu stałego może to być płytka podobna do aparatu ruchomego, bez śruby i klamer, albo też tzw. szyna, wykonana z przeźroczystego tworzywa w rodzaju koszulki na zęby. Nosi się ją początkowo całą dobę (zdejmując do posiłków) a w późniejszym okresie tylko w nocy. Są to wszystko ruchome (wyjmowane)aparaty retencyjne.


Te przeźroczyste nakładki na zęby, prawie niewidoczne i bardzo wygodne w użytkowaniu, utrzymują uzyskaną pozycję zębów w większym stopniu niż płytki Havleya .Ich wadą jest to, że pacjenci z silną mięśniówką szybciej je zużywają, oraz fakt, iż zaplombowanie zęba wypełnieniem wychodzącym poza obrys zarejestrowany w czasie wykonywania skanu na szynę, może spowodować, że nie da się jej założyć. Wykonanie większej ilości plomb, czy odbudów estetycznych, może wymagać wykonania nowej szyny. Trzeba też pamiętać o tym, że jest ona dość delikatna, mało widoczna i łatwo ja zgubić czy zniszczyć. Nie wolno jej też wyparzać, gdyż jest termoformowalna i wysoka temperatura ja zdeformuje. W sytuacji gdy pacjent leczony był z wady polegającej na niewłaściwej relacji łuków zębowych w stosunku do siebie, a uzyskany efekt nie jest jeszcze zbyt stabilny ( tzw. podwójny zgryz), można wykonać pozycjoner, tj. dwie szyny zespolone w zgryzie, który jest prawidłowy, lub w obu szynach wykonać zaczepy do wyciągów elastycznych, którymi pacjent może się doleczyć po zdjęciu aparatów stałych. Utrzymują one pozycje zębów w łukach, ale zmieniają korzystnie pozycje łuków zębowych w stosunku do siebie. To samo można osiągnąć wykonując jako aparat retencyjny – aparat blokowy.
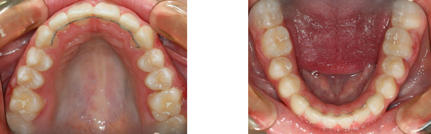
Retencja stała to przyklejony na powierzchniach podniebiennej w szczęce i językowej w żuchwie drucik na siekaczach i kłach. Ma za zadanie utrzymać ustawione aparatem stałym zęby.

Używamy cookies