ul. Nysy Łużyckiej 9a, 45-034 Opole
  • pon.: 10:00 - 19:00
  • wt.: 08:00 - 16:00
  • śr.: 09:00 - 18:00
  • czw.: 07:00 - 15:00
  • pt.: 08:00 - 14:00

SKUTKI BRAKU HIGIENY PRZY APARACIE ORTODONTYCZNYM

Jednym z mitów pokutujących wśród potencjalnych pacjentów, a nierzadko i wśród stomatologów jest ten, o psuciu zębów przez aparat ortodontyczny. Czy aparat ortodontyczny powoduje powstanie ubytków – dziur – jak mawiają pacjenci? Odpowiedź na to pytanie jest krótka. Brzmi : nie. Jednakże kwestia ta wymaga szerszego omówienia.

Już w chwili kwalifikowania do leczenia ortodontycznego, analizuje się stan higieny jamy ustnej u pacjenta. Jeśli jest ona niedostateczna, zwracamy na to uwagę, dając czas na podniesienie jej poziomu. Brak właściwej dbałości o zęby w postaci skutecznego szczotkowania i występowanie płytki nazębnej – dyskwalifikuje pacjenta. W przypadku aparatów wyjmowanych (lub inaczej ruchomych), pacjenci wyrażają swoje obawy, sądząc że ocieranie metalowych elementów utrzymujących, czyli klamer, może „zetrzeć" szkliwo. Szkliwo zęba jest bardzo twarde i nigdy, nawet przy wiele lat użytkowanych aparatach wyjmowanych nie zaobserwowano jego uszkodzeń. Natomiast, jak chodzi o aparaty stałe, które najczęściej składają się z pierścieni zacementowanych na zębach trzonowych, czasem, bardzo rzadko, na przedtrzonowych, oraz zamków przyklejonych do poszczególnych zębów, sytuacja wygląda inaczej. Cement do montowania pierścieni zawiera fluor, cały czas uwalniany do szkliwa zęba, działając ochronnie. W przypadku gdy cement się wykruszy, osłabi się utrzymanie pierścienia i zacznie się on ruszać, lub nawet spadnie z zęba. Wówczas, zostanie ponownie zacementowany, szczelnie wypełniając przestrzeń pomiędzy pierścieniem, a zębem. Zamki są do zęba przymocowane klejem na całej powierzchni zamka. Tu, jeszcze bardziej niż w przypadku pierścienia brak jest jakiejkolwiek luki pomiędzy nimi. Oznacza to, że na powierzchni zęba, do której szczelnie przylega zamek nie może powstać i nie powstanie żaden ubytek próchnicowy. Najmniejsza nawet nieszczelność kleju powoduje odpadniecie zamka.

JAK DBAĆ O ZĘBY PRZY APARACIE ORTODONTYCZNYM?

Jednakże, powstają miejsca trudniej dostępne dla szczotki niż wtedy, gdy na zębach nie ma aparatu. Dla osób, które zawsze prawidłowo dbały o higienę nie będzie to stanowiło większego problemu. Trzeba tylko nieco staranniej i dłużej czyścić zęby tak, aby włosie szczoteczki weszło pod łuk, oraz pomiędzy zamek, a dziąsło. Ponadto trzeba korzystać z otrzymanych po założeniu aparatu dodatkowych akcesoriów, jak np. szczoteczki interdentalnej (szczegółowe techniki omówione w poprzednich numerach biuletynu).

 

Odwapnienia szkliwa powstają nie pod zamkami, ale na powierzchniach zębów dostępnych dla szczoteczki, lecz niedokładnie lub wcale nieoczyszczanych. Szczególnie w okolicach pomiędzy zamkiem, a dziąsłem. Takie ubytki powstają u pacjentów niedbających we właściwy sposób o higienę nawet wtedy, gdy nie noszą oni aparatów ortodontycznych. Przyczyną powstania, jest nieusunięta płytka bakteryjna, w której kolonie bakterii w procesie przemiany materii wytwarzają kwasy, uszkadzające szkliwo. Początkowo są to powierzchowne demineralizacje w postaci kredowobiałych plam, z czasem sięgające coraz głębiej w szkliwo, zmieniając barwę na brązową, a powierzchnia szkliwa staje się chropowata, następnie tworzy się wyraźny ubytek. Początkowe fazy są odwracalne. Stosując pasty remineralizujące, można przywrócić prawidłową strukturę szkliwa. Z biegiem czasu staje się to niemożliwe. Nie tylko szkliwo ulega uszkodzeniu przez nieusuniętą płytkę nazębną. Również dziąsło brzeżne, atakowane przez bakterie i produkty ich przemiany materii wykazuje objawy stanu zapalnego; staje się zaczerwienione, obrzęknięte (tzw. rąbek zapalny)i łatwo krwawi. Niestety, tę skłonność do krwawienia pacjenci odczytują opacznie (po części z powodu wprowadzających w błąd reklam telewizyjnych) i unikają szczotkowania aby nie prowokować krwawienia, co oczywiście nasila objawy zapalenia. W takiej sytuacji lekarstwem jest WZMOŻONA higiena, a nie jej brak.

ZMIANY W SZKLIWIE W WYNIKU BRAKU NALEŻYTEJ HIGIENY

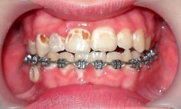
Poniżej, przedstawiony został przypadek pacjenta, leczonego stałym aparatem. Już przed jego założeniem widać zmiany w szkliwie. Świadczy to o braku właściwej higieny. Pacjent został o tym poinformowany, oraz przeprowadzono instruktaż higieny jamy ustnej. Niestety, jak pokazują fotografie z poszczególnych wizyt, na zębach znajdują się zwały miękkiej bakteryjnej płytki nazębnej, którą w większości usunęłoby jedno przeciągnięcie szczoteczką w tej okolicy. Myślę, że wyraźnie pokazuje ten przykład iż to nie aparat psuje zęby pacjentowi.

Stan zapalny i odwapnienia na zębach
Stan zapalny oraz odwapnienia
Odwapnienia
Odwapnienia na zębach
Bakteryjna płytka na zębach
Bakteryjna płytka nazębna

Ponadto, mimo iż osiągnięto dobry rezultat leczenia ortodontycznego, stan zębów po zdjęciu aparatu jest, delikatnie mówiąc, niezbyt dobry, co psuje ostateczny efekt. Najdramatyczniejszy stan zębów jaki widziałam w swojej długiej już karierze zawodowej, obrazuje poniższe zdjęcie.

Zła kondycja zębów
Zła kondycja zębów po zdjęciu aparatu ortodontycznego

Całkowita niemożność wyegzekwowania u młodocianego pacjenta podstawowej higieny , była przyczyną wcześniejszego niż planowano zdjęcia aparatu. Przy tej okazji trzeba zaznaczyć, że szkliwo pacjentów młodocianych jest mniej dojrzałe od szkliwa pacjentów dorosłych i w związku z tym bardziej podatne na wpływ czynników uszkadzających.

 

Zaprezentowane tu przypadki są na szczęście jednostkowe i zdarzają się bardzo rzadko. Z całą pewnością nie musiało do nich dojść.


Jolanta Jarka

Używamy cookies

Używamy plików cookies aby ułatwić Ci korzystanie z naszych stron www, do celów statystycznych oraz reklamowych. Jeśli nie blokujesz tych plików, to zgadzasz się na ich użycie oraz zapisanie w pamięci Twojego urządzenia. Pamiętaj, że możesz samodzielnie zmienić ustawienia przeglądarki tak, aby zablokować zapisywanie plików cookies. Więcej informacji znajdziesz w naszej polityce prywatności.